¸¶ÀÌÆäÀÌÁö
½ºÅ©·¦Á¤º¸
µî·ÏÇѾ÷üÁ¤º¸
°áÁ¦³»¿ªÁ¤º¸
Æ÷ÀÎÆ®³»¿ª
±³À°
,
Çб³
,
À¯¾Æ±³À°
,
¹æ°úÈÄ
,
ÃʵîÇлý
,
°øºÎ¹æ
,
À¥Å°ÁÄð
,
kids
,
°úÇÐ
,
±¹¾î
HOME
ȸ»ç¼Ò°³
½ÃÀÛÆäÀÌÁö
Áñ°Üã±âÃß°¡
ȸ¿øÃ£±â
°í°´¼¾ÅÍ
½Å±ÔÁ¤º¸
ÀαâÁ¤º¸
ÃßõÁ¤º¸
ÇÁ¸®¹Ì¾öÁ¤º¸
ÄíÆùÁ¤º¸
Ä¿¹Â´ÏƼ
ÀüüÁö¿ª
¼¿ï
½Åµµ½Ã
°æ±âµµ
ÀÎõ
ºÎ»ê
´ë±¸
±¤ÁÖ
´ëÀü
¿ï»ê
°¿øµµ
°æ»ó³²µµ
°æ»óºÏµµ
Àü¶ó³²µµ
Àü¶óºÏµµ
ÃæÃ»³²µµ
ÃæÃ»ºÏµµ
Á¦ÁÖµµ
Àüü°Ë»ö
ÁÖ¼Ò·Î °Ë»ö
ÀüȹøÈ£·Î °Ë»ö
ȨÆäÀÌÁö·Î °Ë»ö
Á¦¸ñÀ¸·Î °Ë»ö
ªÀº¼³¸í °Ë»ö
³»¿ëÀ¸·Î °Ë»ö
¾ÆÀ̵ðÀúÀå
ȸ¿ø°¡ÀÔ
IDã±â
/
PWã±â
¾î¸°À̱³À°Á¤º¸
3697
¾î¸°À̰ǰÁ¤º¸
289
¾î¸°À̰æÁ¦Á¤º¸
132
¾î¸°À̸ÀÁýÁ¤º¸
1817
¾î¸°À̹®È¿¹¼ú
436
¾î¸°ÀÌ¿©ÇàÁ¤º¸
1672
¾î¸°ÀÌÀ¯Å븶ÄÏ
57
À¯¾Æµ¿¿ëǰÁ¤º¸
612
¾î¸°ÀÌ¿ëǰ·»Æ®
91
¾î¸°ÀÌÁ¤º¸Åë½Å
53
ÄÄÇ»ÅÍ.ÀÎÅͳÝ.°ÔÀÓ
138
Ãë¹Ì.·¹Àú.½ºÆ÷Ã÷
153
¿£ÅÍÅ×ÀÎ¸ÕÆ®
672
¼ºñ½º ¼¾ÅÍ
181
¹æ°úÈÄÇб³Á¤º¸
372
üÇèÇнÀÁ¤º¸
1184
¾ö¸¶¹æ,¾Æºü¹æ
15
¹æ°úÈĵ¹º½±³½Ç
1181
¾î¸°À̰ÔÀÓÁ¤º¸
0
±âŸ
19
ERROR
:: define : Template File Not Found! (./html/rows_output_01.html)
À¯¾Æ/¾î¸°ÀÌ¿ë...
µ¿¿µ»ó ÃÔ¿µ ¹×...
¹æ°úÈÄÇб³ ±³...
ÇÁ¸®·£¼Áß°³ ...
¡Ù¡Ú¿øÀå´Ô º¸...
À¥±âȹ,À¥µðÀÚ...
ÇÁ¸®·£¼ÄÚ¸®¿¡ µî·ÏÇϰí...
(ÁÖ)À¥Å°Áî¿¡µàÅ×ÀÎ¸ÕÆ®...
¹ü°è±Â¸ð´×Ä¡°ú - ¼¼°è ÃÖÃÊÀÇ À¯¾Æ/¾î¸°ÀÌ ±³À°Á¤º¸ Ç÷§Æû No1 À¥Å°Áî Since 1996~2023
>
¾î¸°À̰ǰÁ¤º¸
>
¾î¸°À̺´¿ø
> ¹ü°è±Â¸ð´×Ä¡°ú »ó¼¼Á¤º¸
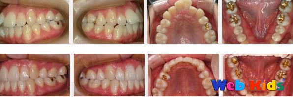
¹ü°è±Â¸ð´×Ä¡°ú
¿©·¯ºÐÀÇ ±¸°°Ç°À» À§ÇØ ³ë·ÂÇϰí Ç×»ó ¿¬±¸ÇÏ¿© ¹ßÀüµÇ´Â ÀÇ·áÀÎÀÌ µÇµµ·Ï Èû¾²°Ú½À´Ï´Ù.
ºê·£µå¸í
:
¹ü°è±Â¸ð´×Ä¡°ú
¾÷ ü ¸í
:
¹ü°è±Â¸ð´×Ä¡°ú
´ã ´ç ÀÚ
:
¹ü°è±Â¸ð´×Ä¡°ú
¿¬ ¶ô ó
:
º¸±â±ÇÇѾøÀ½
ÈÞ ´ë Æù
:
031-464-7528
ÀÌ ¸Þ ÀÏ
:
Á¤º¸¾øÀ½
ȨÆäÀÌÁö
:
http://www.gmdent.co.kr/
ÁÖÂ÷°ø°£
:
Á¤º¸¾øÀ½
Áö¿ª±¸ºÐ
:
°æ±âµµ ¾È¾ç½Ã µ¿¾È±¸ È£°èµ¿ 1040-1
[ °æ±âµµ ¾È¾ç½Ã µ¿¾È±¸ È£°èµ¿ 1040-1 ]
Áö¿ªÀÇ Á¤º¸°¡ ¾ø¾î¼
°æ±âµµ ¾È¾ç½Ã µ¿¾È±¸ È£°èµ¿
Áö¿ªÀ» ºÒ·¯¿Ô½À´Ï´Ù.
D
a
u
m
(´ÙÀ½)·Îµåºä À§Ä¡Á¤º¸ »çÁø
µî·ÏÀÎÀÌ
¹®Àڹ߼Û
¼ö½ÅÀ» Çã¿ëÇÏÁö ¾Ê¾Ò½À´Ï´Ù.
0
¿øÀ¯Ä¡¿ø
Áö¿ª :
¼¿ï °ü¾Ç±¸ ºÀõµ¿ 968-44
¿¬¶ôó :
02-877-0888
¿øÀ¯Ä¡¿ø
[9851]
¹éÀμ÷
02-877-0888
¼¿ï °ü¾Ç±¸ ºÀõµ¿ 968-44
http://won.kidis.kr/
»þÀÎÀ¯¾ÆÇб³
Áö¿ª :
ÀÎõ ³²µ¿±¸ ³íÇöµ¿ 597-9
¿¬¶ôó :
032-435-7782
»þÀÎÀ¯¾ÆÇб³
[9859]
À̼À²
032-435-7782
ÀÎõ ³²µ¿±¸ ³íÇöµ¿ 597-9
http://www.shine.kg.kr/
¼¼°ËÁ¤
Áö¿ª :
¼¿ï Á¾·Î±¸ ½Å¿µµ¿ 168-6
¿¬¶ôó :
02-731-0412
¼¼°ËÁ¤
[6507]
¼¼°ËÁ¤
¼¼°ËÁ¤
02-731-0412
¼¿ï Á¾·Î±¸ ½Å¿µµ¿ 168-6
http://
ȸ»ç¼Ò°³
°³ÀÎÁ¤º¸º¸È£Á¤Ã¥
ÀÌ¿ë¾à°ü
À̸ÞÀÏÁÖ¼Ò¹«´Ü ¼öÁý°ÅºÎ
FAQ
°øÁö»çÇ×
°í°´Áö¿ø°Ô½ÃÆÇ
°ü¸®ÀÚÂÊÁö
ȸ»ç¸í:ÁÖ½Äȸ»ç À¥Å°Áî ´ëÇ¥ÀÌ»ç È«¼º±¸ Åë½ÅÆÇ¸Å¾÷½Å°í Á¦ 2011-¼¿ï¼ÃÊ-0690È£
ÁÖ ¼Ò: ¼¿ï ¼Ãʱ¸ ¿ì¸éµ¿ 142 Çѱ¹±³¿ø´ÜüÃÑ¿¬ÇÕȸ 8Ãþ[137-140] Tel: 02-575-0582
»ç¾÷ÀÚ µî·Ï¹øÈ£ 214-88-73037
Copyright WEBKIDS corp
All Rights Reserved. E-mail : webkidsedu@naver.com